“고혈압, 당뇨병을 앓고 있는 70세 환자가 일시적인 좌측 팔의 위약감을 호소하면서 외래로 내원하였다. 환자는
외부 병원에서 경동맥 초음파를 시행한 적이 있으며 경동맥 협착이 있다고 듣고 아스피린을 복용 중이었다. 추가
검사 및 치료를 위하여 입원하여 시행한 뇌 및 뇌혈관 MRI에서 우측 경동맥의 80% 협착 및 이로 인한 뇌경색 후유증이 관찰되어 추가적인 뇌경색을 예방하기 위하여 경동맥 스텐트 시술을 받고
퇴원하였다.”
1. 경동맥 협착이란?
경동맥은 심장에서 나오는 대동맥궁에서 시작되어 뇌로 혈액을 공급하는 혈관이다. 경동맥은 외경동맥과 내경동맥으로 나누어지며 외경동맥은 얼굴 부위로, 내경동맥은
뇌로 혈액을 공급하게 된다. 경동맥 협착이란 경동맥이 고혈압, 당뇨병, 고지혈증 등의 여러가지 원인으로 인하여 혈관벽이 두꺼워지고 딱딱해져서 혈관이 좁아지는 것을 말한다.
출처: 대한뇌졸중학회
2. 경동맥 협착의 증상
경동맥이 협착 자체는 50% 이상 진행하더라도 증상이
나타나지 않는 경우가 많다. 그래서 경동맥 초음파 등의 검사를 시행하면 전혀 증상이 없던 환자에게도
경동맥 협착이 관찰되는 경우가 있다. 그러나 경동맥 협착이 진행되어 경동맥이 막히거나(폐색), 혈관벽에 쌓여있던 죽상경화반에서 색전증이 발생하면 뇌경색이
발생하게 되며 이 때는 발음장애, 언어장애, 편측 마비, 감각이상 등의 다양한 증상을 유발할 수 있다.
3. 경동맥 협착의 진단
경동맥
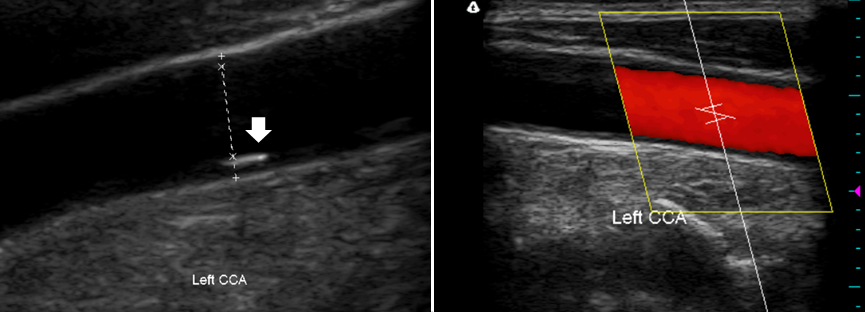
협착을 진단하는 방법은 여러가지가 있다. 비교적 간단하게 할 수 있는 검사로 경동맥 초음파 검사가
있다. 경동맥 초음파 검사는 초음파를 이용하여 경동맥 혈관벽의 두께와 죽상경화반 유무 및 경동맥
협착 정도를 확인하는 검사이다. 외래에서 검사할 수 있고 별도의 준비가 필요하지 않아 고혈압, 당뇨병 등의 위험인자가 있는 환자에서 경동맥 협착 여부를 확인하는 선별 검사로 자주 이용된다.
이 외에 CT나 MRI
등의 영상 검사를 시행하여 경동맥 협착 여부를 확인할 수 있다. 경동맥 초음파 검사는
쇄골부터 턱 아래까지의 경동맥에 대하여 검사가 가능하지만 CT나 MRI
등의 검사를 시행하면 대동맥궁부터 두개골 안쪽의 뇌혈관까지 함께 검사할 수 있는 장점이 있다. 마지막으로
혈관조영술을 통하여 경동맥 협착을 진단할 수 있다. 혈관조영술은 국소마취를 하고 대퇴부 동맥을 통하여
카테터를 삽입한 후 조영제를 주입하여 혈관을 확인하는 검사이다. 혈관조영술을 이용하면 협착 정도를
정확하게 평가할 수 있을 뿐만 아니라 측부 혈관 상태 등을 확인할 수 있는 장점이 있다.
4. 경동맥 협착의 치료
경동맥 협착의
치료는 경동맥 협착으로 인한 증상이 있는지, 협착 정도가 어느 정도인지에 따라서 달라지게 된다. 협착이 심하지 않고 증상이 없는 경우는 고혈압, 고지혈증 등의 위험인자를
치료하고 아스피린과 같은 항혈소판제 약물 치료로 협착이 더 진행하지 않도록 한다. 협착이 심하고 경동맥
협착에 의한 뇌경색 또는 일과성뇌허혈발작 등의 증상이 동반된 경우에는 경동맥내막절제술 이라는 수술적 방법을 통해 치료한다. 또한 수술이 어렵거나 동반된 여러 질환으로 수술 위험도가 증가하는 경우에는 경동맥스텐트삽입술 및 성형술을 시행하여
치료한다. 약물치료나 시술 및 수술적 치료 후에도 경동맥 협착은 다시 재발하거나 진행할 수 있으므로
주기적인 영상 검사를 통하여 경동맥 협착에 대하여 평가를 하는 것이 필요하다.
경동맥 협착은 뇌경색을
유발하는 중요한 원인 중 하나이다. 고령, 고혈압, 당뇨병 등의 위험인자를 가지고 있는 경우 경동맥 협착이 있는지 미리 검사를 시행하고 결과에 따라 경동맥 협착을
치료하고 진행을 방지하면 이로 인한 뇌경색을 예방할 수 있다.